Toggle Elements

Sportunfall. Karriereende? Nein, danke!

Bild 1: Antje Döll bei ihrem Sportunfall während eines Handball-Spiels

Fallbespiel: Innenbandverletzung des Knies durch Sportunfall

Welche Rolle spielt das Innenband des Knies beim Sport?

Das Innenband am Kniegelenk ist ein wichtiger Stabilisator bei Sportarten mit häufigen Richtungswechseln wie beispielsweise Fußball, Handball und vielen Hallensportarten. Zu einer Innenbandruptur, also einem Riss des Innenbandes, kommt es häufig in Kombination mit einer Verletzung des vorderen Kreuzbandes und des Innenmeniskus (sog. „unhappy triad“).

Die meisten Innenbandrupturen heilen konservativ, also ohne notwendige OP. Die konservative Therapie beinhaltet dabei eine Orthesenversorgung zur Stabilisierung des Kniegelenkes, ggf. Teilbelastung an Gehstützen sowie physiotherapeutische Behandlungen. Zur Erfassung etwaiger Begleitverletzungen sollte bei jedem Verdacht eine MRT- Untersuchung durchgeführt werden.

Welche Arten von Innenbandrupturen gibt es?

Grad 1: Ein leichter Riss, bei dem < 10 % der Bandfasern gerissen sind und das Knie noch stabil ist.

Grad 2: Eine mittelschwere Rissform, bei der das Band teilweise gerissen ist.

Grad 3: Hier ist das Innenband vollständig gerissen. Das Knie ist in Streckung und Beugung sehr instabil.

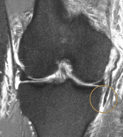
Bei Grad 3-Rupturen (siehe Bild unten) kann es vorkommen, dass sich die gerissenen Bandanteile zum Teil zurückziehen und evtl. in nicht anatomischer Position vernarben. Dies kann eine chronische Instabilität zur Folge haben. Manchmal kann dadurch die Wiedererlangung der Sportfähigkeit beeinträchtigt werden.

Bild 2: Ruptur 3. Grades am Innenband des Knies

Bei Antje Döll, einer deutschen Handballspielerin, kam es Ende Oktober 2022 zu einer Grad 3-Ruptur. Seit der Saison 2015/16 spielt sie in der Handball-Bundesliga bei der SG BBM Bietigheim und gewann mit der Mannschaft 2017, 2019, 2022 und 2023 die Deutsche Meisterschaft. Sämtliche Spielerinnen der SG BBM Bietigheim werden von der Maybach Klinik und dem Athletic Solution Center betreut.

Der Fall aus Sicht der Patientin
Antje Döll, SG BBM Bietigheim

Im Rahmen der Europameisterschaftsvorbereitung ist mir während eines Testspiels in Ungarn eine gegnerische Spielerin rechts ins Bein gerutscht. Ich habe sofort gespürt, dass etwas nicht stimmt und bin auch sofort ausgewechselt worden. Ich wurde dann noch am Spielfeldrand von der Mannschaftsärztin und dem Physiotherapeuten-Team betreut und ein MRT am Folgetag hat die Befürchtung aller bestätigt: Ein Riss war erkennbar.

Da schießen einem dann natürlich direkt Fragen in den Kopf wie: „Was bedeutet das für mich als Spielerin?“, „Ich bin ja schon 34 Jahre alt“ und „Wie reagiert mein Körper auf eine solche ernsthafte Verletzung?“. Am größten war zu dem Zeitpunkt aber vermutlich meine Enttäuschung darüber, die Europameisterschaft nicht mitspielen zu können.

Nach Kontakt mit unserem betreuenden Arzt in Deutschland, Dr. Christian Mauch von der Maybach Klinik, und einer Abstimmung der beiden Mediziner untereinander wurde für mich ein Rückflug, die überbrückende Betreuung im Athletic Solution Center (ASC) und ein Termin in der Maybach Klinik organisiert.

Beim Termin in der Klinik hat mir Dr. Mauch gemeinsam mit dem Kniechirurgen Dr. Habelt dann die Therapieoptionen erläutert: Sowohl eine konservative Behandlung als auch eine OP kamen in Betracht, wobei sich die beiden einig waren, dass das Risiko einer möglicherweise zurückbleibenden Instabilität bei der konservativen Behandlung deutlich erhöht war. Daher habe ich mich für eine Operation entschieden, denn mir war klar, dass ich – so irgend möglich – wieder auf demselben Niveau wie vor dem Unfall Handball spielen können möchte.

Eine knappe Woche nach dem Ersttermin in der Maybach Klinik stand dann die OP an, die Dr. Habelt durchgeführt hat. Ich bin normalerweise kein ängstlicher Typ, aber da ich noch nie eine größere Verletzung hatte, war das schon eine Ausnahmesituation, sich so völlig in die Hände von „Fremden“ zu begeben. Rückblickend ist glücklicherweise alles gut gelaufen: Ich war nur eine Nacht in der Maybach Klinik, direkt nach der OP kam das Team des ASC zur Erstmobilisation und ohne offene Fragen wurde ich am nächsten Tag entlassen. Die ersten zwei Tage daheim waren dennoch sehr anstrengend. Ich war übervorsichtig und musste mich erst daran gewöhnen, dass man an Krücken wirklich nichts wie gewohnt durchführen kann – was auch für meinen Mann nicht ganz einfach war *schmunzelt*.

Danach ging es aber täglich bergauf. Der ASC hat einen exakten Therapieplan für mich entwickelt, an dem ich mich orientieren konnte. Insgesamt bestätigen mir alle, dass der Heilungsverlauf wirklich enorm war. Weihnachten habe ich die Krücken „unter den Baum“ gelegt und Anfang Februar habe ich wieder spielen können. Insofern habe ich auch nie bereut, mich für die OP entschieden zu haben. Ganz ehrlich: Ich bin jedem Einzelnen, der mich betreut hat, wirklich unendlich dankbar für die Zuwendung und Betreuung, die ich erfahren habe. Der Umgang in der Klinik und im ASC mit mir und allen anderen Patienten war so positiv und wertschätzend – das war schon etwas Besonderes.


Der Fall aus medizinischer Sicht

Dr. med. Robert Habelt, Ärztlicher Leiter, Maybach Klinik Stuttgart

Nach eingehender Anamnese und Diagnose wurde eine OP-Indikation gestellt, um eine chronische Instabilität zu vermeiden und die Rückkehr zum Profi-Mannschaftssport zu gewährleisten.

Die OP wurde bei uns in der Maybach Klinik durchgeführt. Während der OP bestätigte sich die Diagnosestellung: Die Innenbandfasern waren unterhalb Hamstringsehnen abgerissen und nach proximal umgeschlagen. Eine anatomische Rekonstruktion wurde angestrebt und gleichzeitig die bereits entstandenen Vernarbungen gelöst und das Innenband mobilisiert. Durch spezielle Fadenanker, welche im Knochen platziert wurden, ließ sich das Innenband an seiner anatomisch ursprünglichen Position sicher verankern. Nach Testung auf Stabilität erfolgte der schichtweise Hautverschluss. Der OP-Verlauf war unauffällig, Wundkontrolle und die Entfernung des Nahtmaterials erfolgte im StandardZeitplan. In der Nachbehandlung wurden sechs Wochen Teilbelastung an Gehstützen sowie eine Steigerung der Beweglichkeit (Beugung 30/60/90° jeweils für zwei Wochen) durchgeführt. Antje Döll wurde im weiteren Verlauf intensiv von den Mannschafts-Physiotherapeuten aus dem Athletic Solution Center betreut und angeleitet. Genauso wie vor der OP lag – neben der medizinischen und physiotherapeutischen Betreuung – der Fokus des gesamten Teams darauf, Antje Döll Zuversicht und Vertrauen zu vermitteln.

Der Fall aus physiotherapeutischer Sicht
Michael Matthies, Athletic Solution Center

Da ich Antje Döll schon länger betreue, hat sie mich sofort nach ihrem Unfall angerufen und kam auch direkt „vom Flughafen“ zu uns ins ASC. Ich kannte ihre Krankengeschichte mit bereits vorgeschädigter Bandstruktur, weshalb ich davon ausgegangen bin, dass vermutlich eine OP ansteht. Antje ist dann auch sehr schnell – nämlich am Folgetag – von Dr. Christian Mauch und Dr. Robert Habelt in der Maybach Klinik untersucht worden und hat sich für eine OP entschieden. Die postoperative Betreuung durch uns hat umgehend nach ihrem Klinikaufenthalt begonnen.

In der postoperativen Betreuung gibt es keinen Unterschied zwischen einem Profisportler und einem „normalen Patienten“, lediglich der Fokus und die Intensität sind anders. Beim „normalen Patienten“ steht die Gesundheit im Fokus, beim Leistungssportler die Leistungsfähigkeit, sprich: „Was will man riskieren, um schneller wieder einsatzbereit und leistungsfähig zu sein.“ Grundsätzlich gibt aber immer der Körper den Prozess vor. In der ersten Phase nach der OP geht es darum, die Schmerzen zu lindern, die Schwellung zu reduzieren und die Bewegungsfähigkeit zu erhalten. Dann wird – je nach Patientengruppe – auftrainiert. Entweder auf normales Alltagsniveau oder eben auf maximal mögliche Bewegungsfähigkeit und die besondere Anforderung des Sportes. Antje ist daher auch sehr schnell von der klassischen Physiotherapie zur Sporttherapie bei uns im ASC gewechselt, weil sie durch unser kontinuierlich intensives Training und unsere Vorarbeit ein extrem stabiles Knie hatte, sehr zielorientiert und reflektiert arbeitet und daher nach wenigen Wochen schon wieder extrem belastbar war. 

Da wir die SG BBM Bietigheim als Mannschaft betreuen, trainiere ich immer noch regelmäßig mit Antje und bin immer wieder von ihrer Leistungsfähigkeit und Disziplin begeistert, die ihr sicher auch in der Rekonvaleszenz sehr geholfen hat.

Fazit:

Der Fall von Antje Döll zeigt, dass ein interdisziplinärer und ganzheitlicher Behandlungsansatz – auch bei schwerwiegenden Verletzungen des Bewegungsapparates zielführend ist. Gemeinsam mit unseren Patienten wägen wir immer ab, wie die persönliche Lebenssituation aussieht, welche Belastung(en) zu erwarten sind und welche sportlichen Ziele unsere Patientinnen und Patienten verfolgen. Eine Empfehlung für eine OP sprechen wir nur dann aus, wenn eine konservative Behandlung Risiken oder nicht das gewünschte Resultat mit sich bringt.

Wir freuen uns sehr, dass Antje Döll heute wieder auf dem Platz steht und sportliche Erfolge mit ihrer Mannschaft feiert!

Lernen Sie uns kennen und vereinbaren Sie Ihren Termin bei Dr. Habelt: 

© 2026 Maybach Medical Group